90歳 男性 主訴:発熱 (※症例は一部加筆や修正を加えてあります)
Profile:当院初診、施設入所中
現病歴:1週間前に発熱あり
近医受診され、CXRにて影?あり
カロナール内服にて経過観察となっていた
翌日には解熱
カロナール内服も中止となった
その後、普段通り生活
2日前から38度後半の発熱あり
他のバイタルは問題なし
カロナール内服後も発熱持続
当日、38度後半の発熱が続き、当院受診
本人「困っていることはない」とのこと
既往:アルツハイマー型認知症、BPH、HT
内服:降圧薬、αブロッカーなど
AD L:自立
バイタル:BP 141/89, P 88, SPO2 94%, T 38.5度
------------------------------------------------------------------------------------------------------------------
①ディスカッション:何を病歴で追加聴取しますか?
T「はい、ありがとうございます。では何か他に聞きたいことはありますか?」
学「施設で流行っているものはありますか?」
D「特にsick contactはありませんでした。」
学「咳とか、鼻水はありましたか?」
D「ありませんでした。」
学「関節痛やだるさはありましたか?」
D「ありませんでした。」
学「・・・」
T「他に聞きたいことはありますか?
では研修医の先生はいかがでしょうか?」
R「悪寒旋律はありましたか?」
D「なかったです。」
その後、質問は続き・・・
ROS
(+)元々痰がらみあり、むせあり
(➖)腹痛、AD L低下、排尿時痛
T「そのくらいですかね?
学生さん、どう?研修医の先生って、結構ぽんぽん質問できるでしょ?」
学「すごいですね。」
T「何が違うと思う?」
学「経験ですか?」
T「もちろん、経験もそうなんだけど、
この人の鑑別疾患を思い浮かべられているかが、
質問できるかどうかの違いなんだ。
だから経験がなくても鑑別疾患さえ、思い浮かべることができていれば、質問はできるんだよ。
例えば、90歳男性の主訴が発熱。
これだけでもある程度、鑑別は絞れる。
さらに既往歴があれば、もっと絞れる。
そして病歴まであれば、かなり絞れるね。
情報が増えれば増えるほど、鑑別疾患は絞られていく。
だから与えられた情報だけで、まず鑑別疾患を考えるようにしておくといいね。
例えば、この人だったら何の病気が一番疑わしい?」
学「えー・・・」
T「よくある発熱といえば・・・」
学「COVIDですか?」
T「それはこのシチュエーションだったら、よくあっちゃいけないね。笑
それは見逃し禁の発熱だ。
研修医の先生はどう考える?」
R「自分だったら、まずは5+1で考えてしまいます。」
T「なるほど、5+1使っちゃうか〜
学生さんは5+1とか言われても、何のこっちゃだと思うから解説するね。
市中感染で敗血症を起こしやすい感染症の当院での覚え方です。
髄膜炎、肺炎、皮膚南部組織感染、尿路感染、胆道系感染の5つと、
忘れがちなIEを合わせて、5+1と呼んでいます。
うちの病院の見学の楽しみ方の一つに、うちの病院特有のパールがあるので、
それを見つけるのも楽しいかもしれないね。
医療界には有名な人が言ったパールがあるんだ。
例えば、
『昨日元気で今日ショック、皮疹があれば儲け物』 by 青木眞先生
という言葉は全国民が知っている。
ごめん、全国民じゃないね、感染症好きな医療者だけだね。(笑)
まあ、5+1もうちの病院だけで通じる有名なパールなんだ。
確かにそれで考えるのはリーズナブルだね。
じゃあ、その中のどれが怪しい?」
R「そうですね、肺炎7で尿路が3とかでしょうか?」
Y「僕も同じ感じで肺炎が8で、皮膚軟部が1で尿路も1とかでしょうか?」
T「なるほど、そうね〜
でも肺炎にしては、気道症状が乏しい気もするけどね。
BPHもあるし、尿路感染の方があるのかなと思うけど。
5+1をさらに割り算していくと、
まずは髄膜炎は特別扱いです。
意識障害があれば、髄膜炎を考えますよね。
敗血症で意識障害を伴うことはよくあるけど、髄膜炎じゃないか?と、
いつも自分に問いかけるために、一番上に置いておきます。
次は肺炎と皮膚軟部組織感染で、これは診察である程度わかります。
最後に尿路感染と胆道系感染は、病歴や診察では分からず、
検査に頼ることが多い疾患です。
今回も病歴では熱源ははっきりしない印象ですので、
最後の二つが怪しいのかなと思いました。」
-----------------------------------------------------------------------------------------------------------------
診察
見た目 お元気
頭頸部 問題なし
心雑音なし
呼吸音 crackleはなし、rattlingあり、ゼコゼコしている
腹部 平坦軟 圧痛なし
CVA 巧打痛なし
浮腫軽度 褥瘡なし 蜂窩式炎様の発疹なし
---------------------------------------------------------------------------------------------------------------
②ディスカッション:他にしたい診察はありますか?
R「直腸診はされましたか?」
D「していないです。」
T「そうですね、前立腺炎が鑑別になるので、直腸診は大事ですね。
今回はもう足先や背部までしっかり皮膚を見てくれています。
ですが、よくあるのは、「靴下脱ぎ忘れ事件」です。
他にも、背中の診察忘れ事件や鼠径部の診察し忘れ事件などがあります。
何が言いたいかというと、熱源がはっきりわからない時は、
一手間を惜しまないようにしましょう、ということです。
靴下を脱がせたり、背中を見たり、直腸診をするのって、手間ですよね。
でも、その一手間が大事なんです!
さあ、この患者さんの鑑別は診察でどう変わりましたか?」
K「ちょっと聞いてもいいですか?
元々、この患者さんはむせたりしていましたか?
食形態はどうでしたか?
動物との接触はありますか?
結核の既往はありますか?
1週間前に肺炎を起こして、それが治りきらず、
肺化膿症になったのかなと思いました。
あとは熱の割に、脈が上がっていないので、
β飲んでいるとか、心臓が頻脈にできないとか、相対性徐脈を引き起こす微生物なのか、
そういうところも考えました。
自分だったら、肺炎としてまずは考え、
そしてそれが誤嚥性なのか、COVIDのようなウイルス性か、
他の細菌性肺炎か、そして忘れてはいけないTBかどうか、
そういったことを今は考えています。」
T「ありがとうございます。すごいですね。
なんだか、肺化膿症にしか見えなくなってきました。笑
その後、どうなりましたか?」
------------------------------------------------------------------------------------------------------
経過
CXRにて右下肺の透過性低下あり
CTにて右下肺の背側にコンソリデーションあり
T「まあ、部位的には誤嚥性肺炎ですかね。
往々にして、高齢者の場合、痰がでないことが多いので、
痰がでなくて、誤嚥性肺炎かな?
で治療が入ることも多いですが、いかがでしたか?」
D「それが、とても頑張ってもらったら、痰が出たんです。
その痰がしっかりした膿性痰で、グラム染色するとGPRの単一菌だったんです!」
T「それはすごいね。
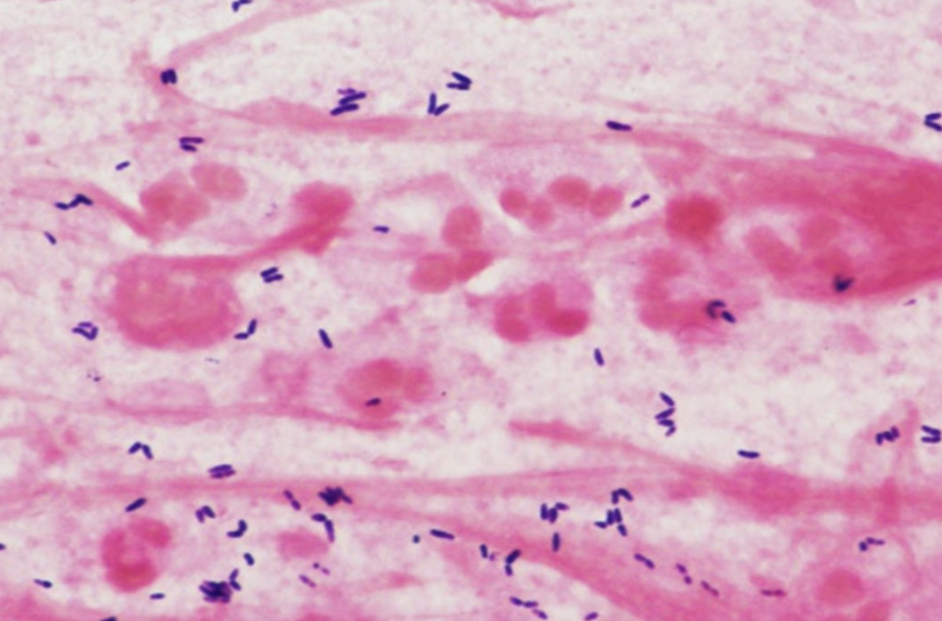
しかもGPRですか。となると、八の字型とかでしたか?」
D「はい、コリネを疑うような形態でした」
T「そうですか、それは珍しい。
GPRは落とし穴になります。
GPRは形態である程度、わかりますのでG染色が非常に重要です。
K「コリネの中でもVCMしか効かないやつがいるので、
ここでVCMでいくか、CTRXとかでいくかは迷いますね。
バイタルよければ、VCMなしでCTRX単剤でも良いかなと思います。」
T「自分も後期研修医の時、同じような症例に出会ったことがあります。
まあCTRXでいけるでしょう。と思っていたら、
翌日も全く熱が下がらず、
痰のG染色を見たら、ウジャウジャコリネが残っていて、
VCMにしたら、すっかりよくなった思い出がありますね。
まあ、一日外して命を落とすような状況でもないので、
CTRXスタートで良いのではないでしょうか?」
D「実際もバイタルも悪くなかったので、CTRXで治療が開始となりました。
翌日には解熱し、痰もきれいになっていました。」
T「よかったですね。
ではこの症例を通じて伝えたかったことはなんでしょうか?」
D「実はこの症例は肺炎球菌の尿中抗原を出して陽性になって帰ってきていました。
なので痰が出なかったら、肺炎球菌として対応していたかもしません。
でも、今回は痰のG染色でコリネ肺炎ということがわかりました。
高齢だからと諦めずに、しっかり痰をとる努力をすることが大事だと思いました。
T「ありがとうございます。
その通りですね。
熱の原因を探すのには、一手間を惜しまない。
肺炎の原因を突き止めるのに、痰をとる努力を惜しまない。
これにておしまい。笑
ありがとうございました。」
コリネ肺炎のまとめ論文
まとめ
・病歴を聴取するためには、鑑別疾患が思い浮かんでいないとできない
→闇雲に聞くのではなく、狙った質問をする
・熱源探す診察は一手間を惜しまない
→背部の診察、鼠径部・陰部の診察、靴下を脱がせる、直腸診
・肺炎の原因微生物をつきとめるために痰をとる努力を惜しまない
→ただし、COVID時代なので、COVIDリスクが少しでもあれば控えましょう




0 件のコメント:
コメントを投稿