N Engl J Med 2021;384:1262-7.
22歳 男性 主訴:進行性の神経異常
現病歴:1年前 痛みを伴わない視力障害が左目に出現し、
右目にも出現してきた
その後、4-6ヶ月で痺れや四肢の拘縮、体幹の筋力低下、失禁が出現した
1年で体重が6.8kg減少した
見当識障害が出現し、自分のことができなくなった
生活:発症の3ヶ月前にパキスタンからカリフォルニアにきた
配達の運転手をしていた
喫煙なし、飲酒なし、違法drugなし
家族歴:なし
経過:
画像検査で脱髄を示唆する所見があり、MSと診断された
ナタリヅマブで治療が開始されたが、改善なし
IFNに切り替わったが、症状は進行していったため、紹介となった
--------------------------------------------------------------------------------------------------------------------
(自分の思考)
これはMSと思わせて、違う病気パターンですね
MSの診断は実はとても難しいです
典型的な所見やデータ、経過が揃っていれば良いですが、
画像で白質病変があるだけではMSと言い切るのは難しいです
MSのような白質病変をきたす疾患として、
NMOやサルコイドーシス、中枢神経原発悪性リンパ腫、原発性中枢神経系血管炎、
神経ベーチェット、神経sweet病、CNSループス、シェーグレン症候群、PML、
サルコイドーシス、神経梅毒、HIV感染、結核・・・というように鑑別は多岐にわたります
本当はMS以外の疾患を除外しなければなりませんが、
脳生検を最初から行うことは少ないと思います
そのため、今回のように経過や造影MRI所見、髄液検査所見を総合してMcDonald criteria
などを用いながら、診断・治療することが多いです
ただ、今回は治療がうまくいっていないため、MS以外の疾患の可能性が高い状況です
一番嫌なのは、結核ですね
アジア系の出身であれば、神経ベーチェットも気になるところです
脳だけにとらわれず、他の病歴や所見もしっかりとらなければならないと思います
----------------------------------------------------------------------------------------------------------------
体温は36.9℃、血圧は102/55mmHg、脈拍は75回/分、酸素飽和度は98%
心臓、肺、腹部の診察は問題なし
神経学的検査では、開眼しており病院にいることは認識していました
都市名や日付は認識できず、簡単な命令には従えたが、発語は少なかった
瞳孔は正円同大で、対光反射はなかった
視力は両側とも重度に障害され、光と指の動きのみを認識していた
四肢の筋力低下や筋トーヌスの亢進があった
反射は全体的に3+で、バビンスキー徴候は両側に見られた
触覚の感覚は問題なかった
小脳検査の結果は正常でしたが、
患者は介助なしでは歩けない状態でした
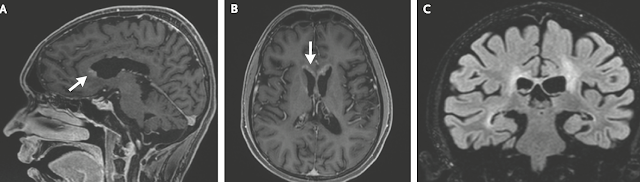
頭部の磁気共鳴画像(MRI)では、脳室周囲の白質に広い範囲で信号異常が見られ、
脳室に結節や軟膜の造影効果が認められた
視神経路に沿って対称的な信号異常が見られた
造影脊髄のMRIの結果は正常であった
--------------------------------------------------------------------------------------------------------------------
(自分の思考)
MRIではやたら脳室周囲の異常陰影が目立ちますね
脳室周囲炎といえば、アクアポリン4に関わるNMOをまずは考えたくなります
他には髄液内に病原微生物や腫瘍が存在することで、脳室周囲に炎症を引き起こすこともあります
この画像からは、まだ鑑別疾患は絞られません
やはり、慢性髄膜炎を引き起こすような感染症をまずは念頭においた方が良さそうです
結核、クリプト、癌性髄膜炎(リンパ腫や白血病)、神経梅毒といった疾患は
鑑別に上がるので、髄液検査を行いたいです
HIVの有無は鑑別疾患を考える上で、非常に重要なので早々にチェックします
この中でも結核をどうやって除外するかは非常に悩ましい問題です
もちろん、培養やPCR、ADA、IGRAを提出することになりますが、
状態が悪ければ、抗結核薬で治療を開始することも選択肢になります
結核性髄膜炎の場合、ステロイドを併用することもあります
ただし、併用したステロイドで色々がマスクされてしまうため、
ステロイドを使う前には、血清で自己抗体のチェックや生検を検討します
実臨床では、あとで追加できるように血清保存をたくさんとっておくのが重要です
----------------------------------------------------------------------------------------------------------
全血球数と生化学は、ナトリウム濃度が148mmol/Lであったことを除いて正常であった
腰椎穿刺を行い、3本目の脳脊髄液(CSF)を分析したところ、
透明な液体で、白血球数は11個(基準範囲、6個未満)
そのうち94%がリンパ球、6%が単球で、赤血球数は5個
グルコース値は44mg/dl、タンパク値は110mg/dlであった
オリゴクローナルバンドが認められた
-------------------------------------------------------------------------------------------------------------
髄液検査では髄液糖が低いですね
慢性的な炎症が起きている証拠です
やはり結核を軸に考えたいところです
オリゴグローナルバンドはMS含む脱髄疾患で見られることが多いですが、
非特異的な所見ですので、MSと決まったわけではありません
ここでは慢性髄膜炎として鑑別を進めていくのが良いと思われます
感染症:結核、クリプトコッカス、梅毒、whipple病、コクシジオイデス、アスペルギルス、ムコール
自己免疫性疾患:SLE、シェーグレン、ベーチェット、神経sweet、血管炎
腫瘍性:リンパ腫(IVL含め)、転移、癌性髄膜炎
肉芽腫疾患:サルコイドーシス、GPA、LYG
脳生検が最後の切り札になリますので、それまでにできる限りの検査を提出しておきます
血液検査や髄液検査でわかればよいですが・・・
脳生検のハードルが高いんですよね・・・
---------------------------------------------------------------------------------------------------------------
血液と髄液の細菌培養,抗酸菌と真菌の染色・培養は陰性
髄液の結核菌のポリメラーゼ連鎖反応(PCR)検査は陰性
髄液と血清のクリプトコックス抗原検査は陰性
単純ヘルペスウイルス,水痘・帯状疱疹ウイルス,西ナイルウイルス,デング熱,チクングニヤ熱,JCウイルス,ヒトヘルペスウイルス6の検査も陰性であった
上下部の内視鏡検査では腫瘍は見られず
内視鏡生検の結果、Tropheryma whippleiの証拠なし
抗核抗体,抗二本鎖DNA抗体,抗Ro(SSA)抗体,抗La(SSB)抗体
組織トランスグルタミナーゼ抗体,抗好中球細胞質抗体は陰性
アクアポリン-4に対する抗体も陰性であった
髄液の細胞学的検査およびフローサイトメトリー検査では異常認めず
硬膜、皮質、脳室周囲白質の生検が施行された
生検結果はマクロファージと散在するリンパ球を主成分とする細胞性の増加が認められた
-----------------------------------------------------------------------------------------------------------------------
お〜
脳生検までやってますね
案の定、血液や髄液からは原因がわかりませんでした
残念です
髄液検査を繰り返し行うと結核やクリプト、癌性髄膜炎の感度が上がリますので、
脳生検の前には、髄液検査を繰り返すのも重要です
今回は脳生検まで行われましたが、肉芽腫や血管炎、腫瘍の証拠はなかったようです
困りましたね〜
せっかく生検したのに、こういうことがあるんですよね・・・
さて、どうしたものか・・・
やはり結核として治療せざるを得ない気がしますが・・・
それにしても、HIVやADAの話題が全く出てきませんね
-----------------------------------------------------------------------------------------------------------------
入院10日目にナトリウム濃度が急激に上昇し、165mmol/Lとなりました
1日の尿量は約3~4Lで、尿浸透圧は132mmol/kg(参考値、300~900)でした
プロラクチンは48μg/L(参考値、3.6~18.0)
コルチコトロピンは7ng/L(参考値、6~50)
卵胞刺激ホルモンは0.2IU/L(参考値、1~12)
黄体形成ホルモンは0.1IU/L(参考値、0.6~12.1)でした
コルチゾールは3μg/dl(基準範囲4~19)で、
合成コルチコトロピン投与後に12μg/dlまで上昇した
遊離サイロキシン値は8pmol/L(参考値10~18)でした
患者はヒドロコルチゾンによる治療を開始し、続いてレボチロキシンを投与しました
------------------------------------------------------------------------------------------------------------------------
なんと・・・下垂体までやられてしまいました
下垂体がやられる疾患と硬膜が肥厚する疾患は似ています
硬膜肥厚に加えて、下垂体病変があるだけでは決め手にかけます
下垂体の障害の分類は病態(原因)による分類、位置による分類、病理学的な分類があります
病態(原因)による分類
腫瘍:頭蓋咽頭腫、胚細胞腫、下垂体腺腫
炎症:神経サルコイドーシス、GPA、リンパ球性下垂体炎、IgG4関連
感染:結核、梅毒
浸潤:ランゲルハンス組織球症(LCH)、non-LCH
薬剤:免疫チェックポイント阻害薬
位置による分類
・漏斗神経下垂体炎
・汎下垂体炎
・腺下垂体炎
病理学的な分類
・リンパ球性
・肉芽腫性
・黄色肉芽腫性/壊死性
・IgG4形質細胞性
・腫瘍性
下垂体病変の原因を調べるには3つのアプローチが必要です
1つ目は下垂体を狙った造影MRIで所見を探すことです
本症例のMRIはこんな感じでした
2つ目は下垂体以外の+αを探すことです
・膝の痛みや骨硬化があれば、エルドハイムチェスターを
・後腹膜線維症があれば、IgG4やGPAを
・肺病変があれば、結核やサルコイドーシスを
全身性疾患の表現系の一つとして、下垂体がやられることがあります
3つ目は、やはり生検です
病理学的に特異的な所見を探すしかありません
さて本症例の結末はいかに・・・
-----------------------------------------------------------------------------------------
下垂体の経蝶形骨洞生検が行われた
生検標本の組織学的所見は,鞍部上の中枢神経系胚芽腫と一致した
この患者は最終的に、下垂体性CNS胚芽腫と診断された
腫瘍性髄膜炎と実質的な浸潤性疾患を合併して重度の神経学的障害をもたらしたと推定されたが、
これらの部位における疾患の明確な組織学的または細胞学的証拠はなかった
患者はエトポシドとカルボプラチンによる化学療法を開始し、
続いて放射線療法を行われました
しかし、下垂体機能低下症は継続しており、
ヒドロコルチゾンとレボチロキシンの投与を受けています
また、神経学的にもかなりの障害があり、
日常生活のすべての活動において介助が必要となっています
-----------------------------------------------------------------------------------------------------------------
ということで、胚芽種(ジャーミノーマ)が最終診断でした
まさか、MSの鑑別にジャーミノーマがあるなんて、知りませんでした
ジャーミノーマは子供や若年者に起こる腫瘍で、
正中の構造物にできることは有名ですね
他にもジャーミノーマの面白い特徴がいくつかあります
・神経下垂体ジャーミノーマは、下垂体後葉炎やLCH、サルコイドーシスと間違いやすい
・ジャーミノーマの放射線感受性が高すぎて、
生検前にCTを行うと、腫瘍細胞が消失してしまうことがある
下垂体の中の小さなジャーミノーマの場合、CT撮影一回で消失してまい、
生検を行なっても、リンパ球浸潤のみの病理となりうる
・脳室上衣に沿って、脳室壁に広範囲に浸潤する特徴がある(脳室上衣下浸潤)
脳室壁に結節状の多発病変として抽出される
→NMO含め脱髄疾患や慢性髄膜炎と誤診されることがある
オリゴグローナルバンドも陽性になることがあるようです
・脳室上衣下浸潤は髄液播種ではないので、髄液細胞診では検出されない
ジャーミノーマは脳室壁全体を侵す腫瘍である
下垂体だけでなく、視床下部、松果体、大脳基底核にも起こる
・腫瘍マーカーがある
血液と髄液のHCG-βとAFPを調べる
血液中ではHCGは31%で上昇あり、髄液中では41%で上昇を認めたという報告あり
・治療は抗がん剤と放射線治療
-------------------------------------------------------------------------------------------------------------
著者のコメント
この症例は、初診時の非特異的な所見と最終診断の稀少性のために、診断が非常に難しかった
討論者も治療チームも頭蓋内胚葉腫の存在を疑っていませんでしたが、
尿崩症の発症により下垂体茎(pituitary stalk)にたどり着き、最終的に診断を下すことができた





0 件のコメント:
コメントを投稿